Publicidad:

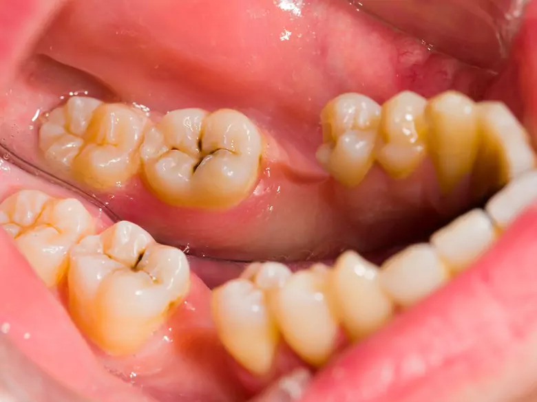
Factores de riesgo de caries

Puedes leer este texto en 1 min.

Factores de riesgo de caries

Panthermedia

Caries, mala salud bucodental

La gestión actual de la caries dental incluye la prevención, el control y el tratamiento.

Publicidad: