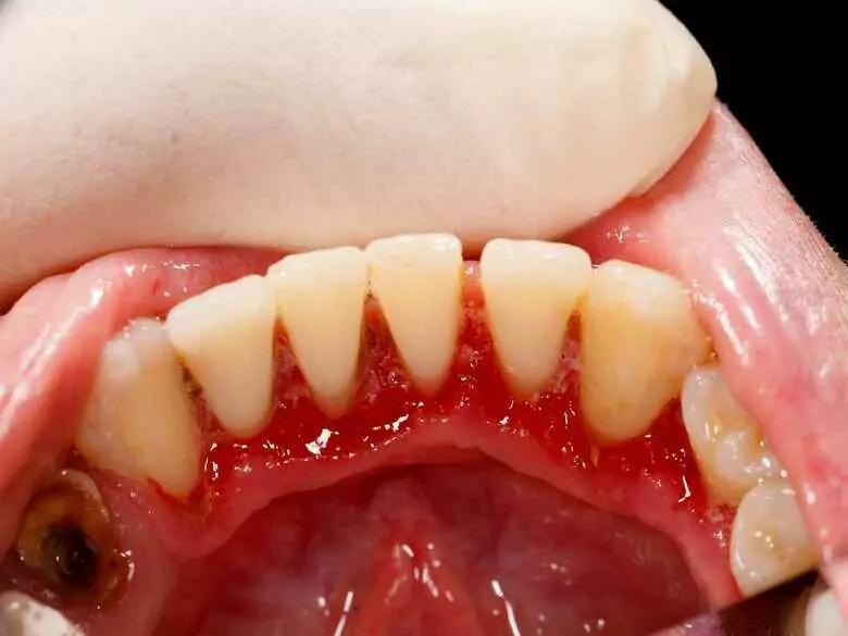
Los síntomas de la leucemia son múltiples e incluyen la pérdida de apetito, la fatiga y el debilitamiento de la inmunidad, pero también el sangrado de las encías. Esto último suele desconcertar bastante a los pacientes: ¿por qué las personas con leucemia tienen encías sangrantes y qué otros cambios en la boca pueden producirse durante el curso de esta enfermedad?
Publicidad:





